Cause of Down Syndrome
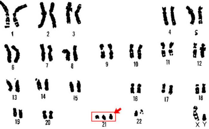
Today, on World Down Syndrome day, you must be made aware of the causes, symptoms, and diagnosis and treatment fof this disease. Down syndrome occurs when an individual has a full or partial extra copy of chromosome. This additional genetic material alters the course of development and causes the characteristics associated with Down syndrome.